A missing tooth doesn’t have to mean a missing smile. At Elite Veneers, we provide advanced dental implants that look, feel, and function like your natural teeth — restoring confidence, comfort, and full bite strength.
Dental Implants
Am I a Candidate for Dental Implants? Dental implants may be the right solution for you if you:
Have one or more missing teeth
Want a secure, natural-looking alternative to dentures or bridges
Have healthy gums and adequate bone support (or are a candidate for bone grafting)
Do not smoke heavily or have conditions that impair healing
Are looking for a long-term investment in your oral health and appearance
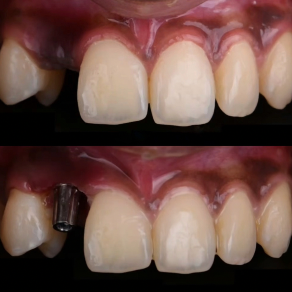
BEFORE
AFTER
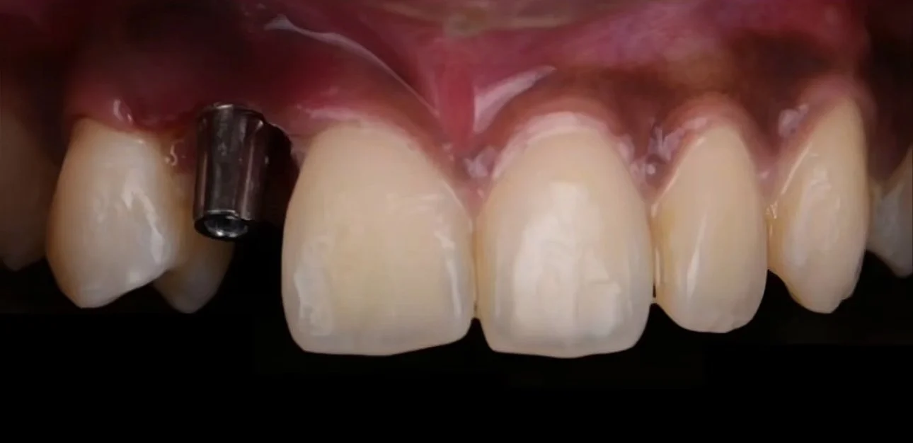
What Is a Dental Implant?
A dental implant is a long-lasting, natural-looking solution for missing teeth. It consists of three parts:
Titanium post (screw) – placed securely in the jawbone to act as a root.
Abutment – the connector that supports the crown.
Crown – a beautifully crafted replacement tooth designed to blend seamlessly with your smile.
Using advanced techniques, we ensure every implant procedure is precise, comfortable, and tailored to your needs.
Dental Implants
IMPLANT + CROWN - $1,800
Why choose Dental Implants?
Restore full chewing power
Look and feel just like a natural tooth
Restore balance to your bite, reducing strain on remaining teeth
Can last a lifetime with proper care
Boost confidence and quality of life
Easy to care as your natural teeth

