Veneers in Miami, FL
Your smile is your signature — it’s the first thing people notice and the one you remember most. At Elite Veneers Miami, we specialize in creating flawless, radiant smiles through custom-designed dental veneers that enhance your natural beauty while preserving the integrity of your teeth.
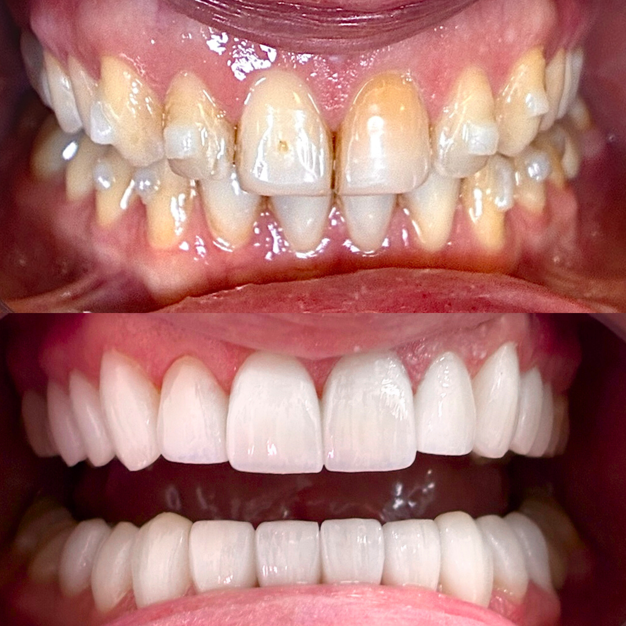
E-max Porcelain Veneers
(20 veneers: 10 top, 10 bottom)
Porcelain veneers are ultra-thin, custom-made shells of medical-grade ceramic that bond to the front of your teeth. They require minimal enamel removal for a snug, natural fit and are designed to last for many years with proper care.
Ideal for reshaping, brightening, and masking imperfections.
BEFORE
AFTER
You may be a good candidate if you have:
Stained or discolored teeth that don’t respond to whitening
Chipped, cracked, or worn-down teeth
Minor gaps or uneven spacing
Mildly misaligned or irregularly shaped teeth
Teeth that appear too short or small
Healthy gums and no active tooth decay or infection
A desire for a premium, natural-looking smile transformation
E-MAX Porcelain Veneers
BEST PRICE EVER - $6,499
Resin/Composite Veneers
Composite veneers are made from high-quality resin that is sculpted directly onto your teeth by our specialists. This option requires little to no enamel removal to provide a beautiful improvement at a more affordable price point.
Perfect for quick, cost-effective smile enhancements.
BEFORE
AFTER
You may be a good candidate if you have:
Minor discoloration or surface stains
Small chips or cracks in your teeth
Slight gaps or uneven edges
Teeth that need reshaping or smoothing
A preference for a minimally invasive treatment
Realistic expectations about durability and maintenance
LOWEST PRICE EVER - $3,500
Resin/Composite Veneers

